60代の男性。主訴は「ブリッジの被せ=点線=が、他の歯と比べると色が目立つ。タバコ吸うからかな?被せてから、20年近く経つので、保険でやり換えてもらおうかな?」でした。
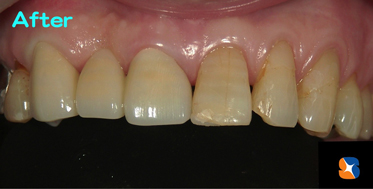
旧ブリッジを外し、仮歯に代えて歯肉の炎症を歯ブラシで改善させた後、保険の被せを新しく装着しました。注意した点は「保険の前歯の経年変色」を考慮して、やや白めに設定したところです。
変色やツヤ抜けがあったものの、20年間も割れ欠けの無かったケースです。保険の前歯でも、「噛み合わせに問題がなければ、長持ちする」ことを実証されています。
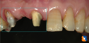
型取りをおこなう直前です。2本とも神経のない歯のため、20年の経過と共にやや黒く変色していました。
これは、3連結のブリッジです。これを、上記写真の歯に装着して完成させます。
元気・やる気・Dr.鈴木のコラム
2013/6/23
保険の前歯は弱いって本当?②











