40代の男性。「先生に入れてもらった前歯のブリッジ(保険)が剥がれた。私の場合は、先生が薦めておられた『セラミック』にしておいた方が良かったですかね?」Dr:「やはり、剥がれましたか?! 以前に比べれば保険の材質も強度は上がりましたが、噛み合わせによって割れ欠けは、起こりやすいです。(下へ続く)
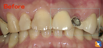
患者様の場合、下の前歯の先が鋭く尖って=写真=います。この形が、噛み合わの際に障害を引き起こし、このような前歯のトラブルにつながります。鋭く尖った前歯への対策には、「セラミックの素材で対応する」ことがベスト治療と考えています」
強度のあるセラミックのブリッジ=写真=が完成しましたが、これで絶対に大丈夫というわけではありません。夜、寝ている間に歯ぎしりなどが原因で前歯が壊れる可能性があります。対策として、
ナイトガードを使用していただきます。
まとめ)
一概に、保険はダメで、セラミックなら大丈夫というわけではありません。
強度のあるセラミックの場合でも、噛み合わせが難しい患者様の場合だと、割れ欠けが心配です。
ただし、一つだけ確かな事があります。それは、保険でも自費でも正確な型取りをきちんと行い、精密な技工物を装着していれば、長持ちすることを実証してくださる患者様が大勢おられることです。
元気・やる気・Dr.鈴木のコラム
2013/6/13
保険の前歯は弱いって本当?①











