この美味しそうな苺ケーキ、実は京都駅地下のお店でディスプレーされていた似物です。
大勢の観光客が、本物そっくり(樹脂製)のケーキ群の前で次々と記念撮影をしていました。
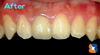
10代の女性。主訴は「小学校の時に神経を抜いた前歯の色(黒色)が気になる」でした。相談の末、セラミックの被せ物を、変色した歯の上にカバーすることにしました。
セラミック製の芯棒を使って歯の中心を補強しました。その後、セラミック製(金属不使用)の被せ物=写真=を装着しました。
いかがですか?
当院では、本物の歯と区別がつかないような「さし歯」の製作を目指して、日々、技工士と共に研鑽を積み重ねております。キレイで長持ちする前歯(保険・自費問わず)をご希望の方は、当院までご連絡下さい。
予算)セラミックの芯とオールセラミックの被せ物を装着して、
総額¥80,000です。価格も良心的に設定していますので、ご安心下さい。
元気・やる気・Dr.鈴木のコラム
2013/5/7
前歯 本物か?それとも似物か?











