元気・やる気・Dr.鈴木のコラム

 2012/12/18 

年末、こんな仕事をしています②
カテゴリ:審美 歯科全般 

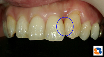
前歯のすき間 11月末。40代の女性。主訴は「歯のすき間を目立たないようにしたい」でした。早速、歯の色と同色のプラスティック(医療用)を使用して、すき間を埋める作業をスタートさせました。

前歯のすき間 直ぐに詰めます 作業開始から1時間、このような状態=写真左=に換わり、患者様にはとても満足して頂くことが出来ました。