元気・やる気・Dr.鈴木のコラム

 2012/12/16 

年末、こんな仕事をしています①
カテゴリ:審美 歯科全般 

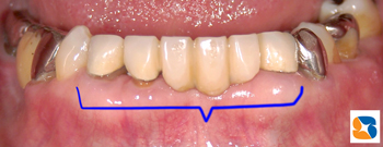
古い前歯 ブリッジ 6連結 60代の女性。主訴は「ひと月で前歯(6連結)をキレイにしたい」でした。

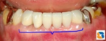
新しい前歯 ブリッジ 6連結①〜⑤は日程順
①まず古い前歯6連結を外して仮歯にチェンジ
②型取り

③試作ブリッジのチェック1回目
④試作ブリッジのチェック2回目
⑤完成(納品)
患者様のご希望通り、11月中に新しいブリッジに換えることができました。とても満足して戴き、ホッとしています。
参考)来院回数は5回、保険適用で総額3,5万円