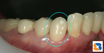
セラミックには、金属を使った物と、金属を使わずに作った物の2種類に分けられます。
写真のセラミックは、中から見ても、外から見ても、白色。つまり、金属を使わずに作った「オールセラミック」と呼ばれているものです。
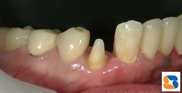
装着前の状態=写真。削って細くなっていますが、歯の神経は大切に残しています。
オールセラミックの被せが、装着されました=写真。材質に金属が使われていないので、冷たい物や熱いものを飲んでも痛くはありません。また、変色やツヤが失われることのない材質ですので、とても満足していただけると思います。オールセラミックの治療費は、100,000円です。
※一般的なセラミックには、金属が内面に使用されています。この素材での治療費は、70,000〜80,000円です。
元気・やる気・Dr.鈴木のコラム
2012/7/25
セラミックには2種類あるんですよ。











