50代の男性。「奥歯で噛むと痛い。歯が浮いてる。これ、抜歯になったら入れ歯?」でした。
レントゲンで確認すると、歯周病がかなり進行していました。
Dr:「痛い歯を抜くと楽になります。しかし、奥歯がすべて無くなることになるので、入れ歯、もしくはインプラントの選択しかありません。奥歯の歯は2本足です(前歯は1本)。まだ使えそうな片側だけでも残してみましょうか?!」
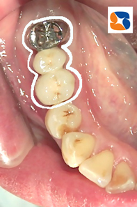
奥歯を分割して、使えそうな根を半分残しました。その結果、セラミックを2本含めた3連結のブリッジが入りました。痛みも治まり、奥歯で何でも噛めるまでに回復しました。これからは清掃メンテナンスに毎月来ていただくことになりました。
※歯茎の大そうじ術や骨の増加法も同時に施術しています。(保険適用)
※3連結のうち分けは、セラミック2本。白金加金ゴールド1本です。
元気・やる気・Dr.鈴木のコラム
2012/6/21
奥歯を半分にして歯を守る④











