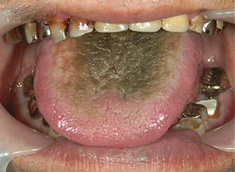
70代の男性。主訴は「最近、舌が黒くなってきた。なんか怖い病気になってないか心配。大丈夫かな?」でした。
Dr:「これは、黒毛舌とよばれているものです。ピリピリするともおっしゃられていましたが、決して怖い病気ではありません。舌が黒色に着色したものです。原因は、抗生物質(抗生薬)やステロイド薬の長期服用により、口の中の細菌群の変化によるものです。(実際、この患者様も、抗生薬を2ヶ月ほど飲み続けておられました。)薬の服用を止めれば、2〜3週間で治まりますので、内科の先生にご相談して下さい。」とお答えしました。











