元気・やる気・Dr.鈴木のコラム

 2011/12/28 

胸をはれる一年
カテゴリ:Dr.鈴木日記 審美 歯科全般 

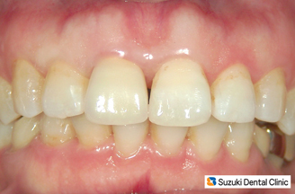
小さくなった歯 オールセラミックが入ったところ

私どものオールセラミックス(金属不使用)作製は、宅急便を使って名古屋の技工士・鬼頭先生とやり取りをしています。最高品質のシリコン材料で歯形の型取りをしてから2週間後、完成したセラミックスの歯が届けられます。予約の当日、その歯が不適合では困ります。

例えば、色が他の歯と不自然で合ってなかったり、歯茎の境目とぴったりフィットしていなければその段差やすき間から虫歯や歯周病になります。 だから厳しい目で、適合の精度をチェックします。もしダメと判断すれば、一からやり直しです。とても気が張りつめる作業です。 そして今年最後の患者様=写真上=が、来られました。「どうか『良いお年を〜』と言わせて下さい…」その願いは通じ、完璧な仕上がりのオールセラミックを装着することが出来ました。この一年、最高品質のオールセラミック治療に賛同してくださった多くの患者様に厚くお礼を申し上げます。また技工士の鬼頭先生をはじめ、いつも私を支えてくれているスタッフの皆さん、今年一年ありがとうございました。 鈴木雅智

メタルを使わないセラミック