震災の影響で、たばこの葉を加工する茨城県のJT(日本たばこ産業)自社工場が操業停止しているほか、フィルターや包装材などを作るメーカーも生産不能に。また、たばこの最終製品を生産する国内6工場中、郡山工場(福島県郡山市)と北関東工場(宇都宮市)内の設備が、損壊したそうです
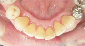
。確かに、コンビニのレジの後棚は、「入荷待ち」のタバコ銘柄が続出しています。今こそ禁煙のチャンス?かもしれませんね。今日は「歯の裏のヤニを取って欲しい」が主訴の30代、男性=写真=を紹介します。
「タバコの値上がりと、品切れ中のこの機会に、禁煙をはじめました。ついでに歯の裏のヤニを綺麗さっぱり取って欲しい」と話す患者さま。早速、30分ほどかけて、歯の裏のヤニをきれいに取り除きました=写真。このチャンスをきっかけに、禁煙が続くといいですね。私も、元・喫煙者のひとりとして、成功を期待しております。
元気・やる気・Dr.鈴木のコラム
2011/5/15
タバコが消えた…禁煙チャンス?











