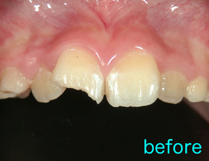
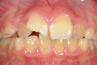
夜の8時過ぎ、小学3年生の男の子が救急で来院されました。
主訴は、「お兄ちゃんと喧嘩をして、前歯が折れた=写真。歯が痛い」でした。

歯は大きく欠け、息を吸っても痛みがありました。
直ぐにでも神経を抜くべきか? それとも神経は残すべきか!?
そこで選択した治療法は、神経を残したまま欠けた部分にのみ、歯科用のプラスティック材料(白色)を補足して、2〜3ヶ月間、様子をみることにしました。
このまま痛みが治まり、腫れ、歯の黒変色、などの症状が出なければ、神経を抜かずにすむのですが…。
経過良好であることを期待します。
※欠けの修復に使用した材料は、GC社製:グラディア(別途不要)です。
元気・やる気・Dr.鈴木のコラム
2011/3/3
折れた前歯の修正











