元気・やる気・Dr.鈴木のコラム

 2010/10/1 

変色した歯の際を白く詰めました。
カテゴリ:Dr.鈴木日記 

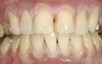
レジン/前歯 矢 治療後

20代の男性。「歯のきわの色が気になる」とのことでした。
かぶせ物(8年前に装着した保険の前歯)と歯茎との境目や、未処置の前歯が、虫歯や着色などで茶色くなっていたのが原因でした。そこで
治療回数や費用なども考慮に入れて、色のついた部分のみを削ったあと、白色の材料レジン(保険適用)を歯の色にあわせて充填することにしました。
その結果、短期間での治療で終わり、審美的にも満足をしていただくことが出来ました。