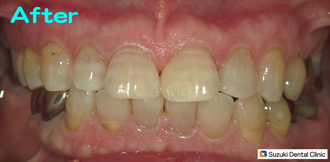
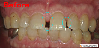
50代の女性。主訴は「すき間が気になります…と、ある医院で相談すると、『歯を削って、セラミックを被せるのが一番!』と薦められた。しかし、歯をたくさん削り、費用も高額。そのため、別の方法を探している」でした。 Dr:「この程度のすき間ならほとんど歯を削らずに、歯と同じ色をした詰め物をつければ悩みは改善されると思います」ということで治療開始。およそ1時間後、すき間は綺麗に改善されました。患者様もこの結果には随分喜んで下さいました。 ※治療費は、保険で約2,500円でした。