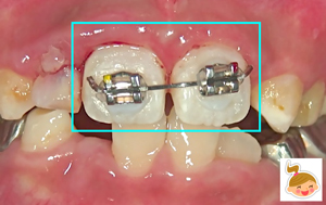
患者さんは、小学校4年生。主訴は「学校でこけて前歯をぶつけた。血が出てグラグラしている。唇も切れて腫れている」でした。 グラついて、出血している前歯2本は、大人の永久歯。そのお隣りの歯(乳歯)もグラついて抜けかけ。 前歯2本を固定するには、とても難しいケースでした。 口唇も腫れあがり視野の確保が易しくなかったため、矯正装置(保険治療)を利用して、短時間での強固定を試みました。1ヶ月間、このままの状態で経過をみる予定です。 泣かずによくがんばりました◎えらかったよ!