【1】40代の女性。主訴は「食事中に前歯が折れた。歯茎を押すと痛い。」でした。診察の結果、歯の根にヒビが入り、割れていましたので、抜歯になりました。
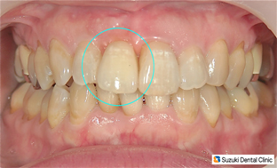
【2】下の歯並びが良くなかったことが、”前歯が折れた原因”と考えられましたので、下の前歯に部分矯正を行うことにしました。
※左の写真は、矯正開始から7ヶ月後の様子。
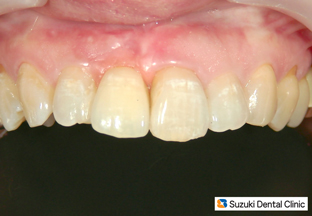
【3】歯並び(噛み合わせ)の改善によって、入れたインプラント体がダメになる心配はありません。※左はインプラントの土台が完成した写真
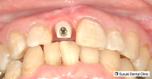
【4】左の写真は、オールセラミックで作られた白い歯を、インプラント体に装着して完成したところです。
「石切でインプラントをするなら…」とおっしゃられていた患者様。その期待に応えることができて、ホッとしています。長期にわたる治療となりましたが、よくガンバって下さいましてありがとうございました。
元気・やる気・Dr.鈴木のコラム
2011/9/7
安心で美しいインプラント施術











