〈Before〉70代の女性。主訴は「昔に被せた前歯が、黄ばんできた。この年齢ですけれど綺麗にしてもらえますか?」でした。
Dr:「歯の根が、しっかりしているので、全く問題ないですよ。きっちり、丁寧に治療を進めていきますので、ご安心下さい。きれいな前歯に変わる日を、楽しみにしていて下さいね。」
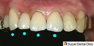
〈After〉早速、黄ばんだ被せ物を取り外し、まず仮歯に替えました。後日、改めて型取りを行い、新しい保険の被せ物を装着しました。結果、保険の範囲内でとても自然な感じのする前歯(=写真の水玉)に仕上がったと思います。











