セラミストの技工士・鬼頭先生=写真右=が、名古屋から来てくれました。作製中の技工物の完成度と、最終仕上げに向けての注意ポイントのチェックをおこなうためです。職人「鬼頭」の気合いが、ここから伝わるでしょうか?
今はまだ完成前ですので、今回は途中経過をお伝えします。
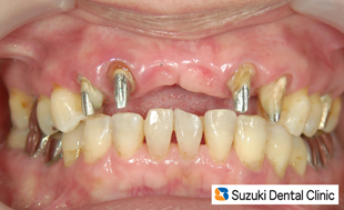
50代の女性。
現在、仮の歯を入れてもらっていますが、この歯のないところに、セラミックのブリッジ6本連結を装着することになっています。
最適な歯の色を決めるために、色見本といっしょにお口の中を撮影します。
この他、歯の形、長さ、厚みを決めるための貴重な情報もこの写真には含まれています。このようにきっちり段階をふんでセラミックの歯は、完成されていきます。出来上がったブリッジは、ひとまず「仮り付け」をして、しばらく様子を伺います。理由は、患者さまのご家族にも意見(色・形・長さ)を頂戴したいからです。次の来院時、皆様に満足していただけていれば、いよいよ完成です。「仮り付け」から「本付け」に変えて治療は終わります。これが、鈴木歯科医院のセラミック治療の流れです。
12月から開始した治療も、みんなの力をもちまして、いよいよ完成間近となりました。近日中には、「治療の完成」をお知らせできるかと思います。
元気・やる気・Dr.鈴木のコラム
2011/5/1
ありがとう!みんなの力で(前編)











