まじめで、気さくで明るく、ユーモアで人格者でもあった、技工所デンタルラボラトリーの社長、友西康博さん=写真左=が昨日お亡くなりになられました。ご生前のご厚情に深く感謝するとともに、ご生前のご功績をしのび、謹んでお悔やみ申し上げます。
友西さんの古くなった前歯2本のかぶせ物=写真円内=を外してやり変える事にしました。
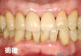
2代目、息子の康輔さんに作ってもらった新しいセラミックの前歯2本を装着した時の写真。とても嬉しそうにされていた事を昨日のように思い出されます。安らかにお眠り下さいますよう、心からお祈り申しあげます。











