y A

y A

y A
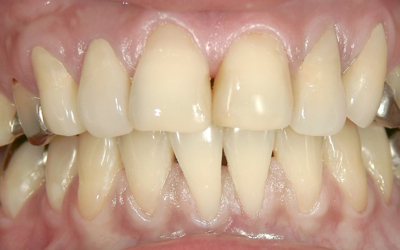
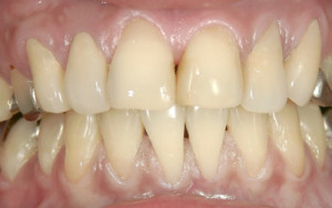
コラム「y A」の画像
投稿日:2010年9月20日 月曜
記事一覧:Dr.鈴木日記 » このコラムのトップへ