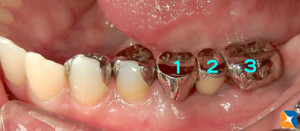
歯を守るブリッジ3連結

歯を守るブリッジ3連結

歯を守るブリッジ3連結
コラム「歯を守るブリッジ3連結」の画像
投稿日:2013年5月20日 月曜
記事一覧:Dr.鈴木日記 » このコラムのトップへ