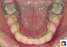
下の歯並びを広げる装置

下の歯並びを広げる装置

下の歯並びを広げる装置
コラム「下の歯並びを広げる装置」の画像
投稿日:2012年7月29日 日曜
記事一覧:Dr.鈴木日記 » このコラムのトップへ