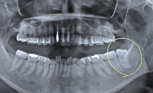
親知らずをお口全体のレントゲンでチェック

親知らずをお口全体のレントゲンでチェック

親知らずをお口全体のレントゲンでチェック
コラム「親知らずをお口全体のレントゲンでチェック」の画像
投稿日:2015年7月18日 土曜
記事一覧:Dr.鈴木日記 » このコラムのトップへ