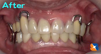
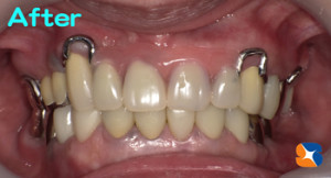
小さく目立たない入れ歯を保険で作る

小さく目立たない入れ歯を保険で作る

小さく目立たない入れ歯を保険で作る
コラム「小さく目立たない入れ歯を保険で作る」の画像
投稿日:2014年12月16日 火曜
記事一覧:Dr.鈴木日記 » このコラムのトップへ