良く噛める入れ歯 見た目のよい入れ歯 東大阪

良く噛める入れ歯 見た目のよい入れ歯 東大阪

良く噛める入れ歯 見た目のよい入れ歯 東大阪
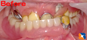
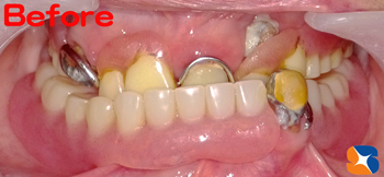
コラム「良く噛める入れ歯 見た目のよい入れ歯 東大阪」の画像
投稿日:2015年6月21日 日曜
記事一覧:Dr.鈴木日記 » このコラムのトップへ