近鉄奈良線 石切駅 徒歩1分 |ブルーラジカル臨床施設で経験豊富な歯周外科医が施術| 静脈鎮静麻酔で親知らずを保険抜歯 &ドライソケット対応 | セレックで白い歯を1日で完成 | 症例コラム多数
TOP
アクセス
PC
SP
メインメニュー
コンテンツへ移動
トップページ
鈴木歯科のご案内・診療時間
アクセス・地図
よくある質問
料金
Dr.鈴木のコラム
検索:
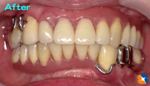
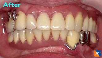
痛くない快適な入れ歯
痛くない快適な入れ歯
コラム「痛くない快適な入れ歯」の画像
投稿日:2013年11月8日 金曜
記事一覧:
Dr.鈴木日記
»
このコラムのトップへ