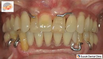
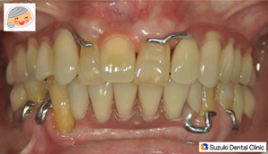
同じ入れ歯でもここまでやります

同じ入れ歯でもここまでやります

同じ入れ歯でもここまでやります
コラム「同じ入れ歯でもここまでやります」の画像
投稿日:2012年11月18日 日曜
記事一覧:Dr.鈴木日記 » このコラムのトップへ