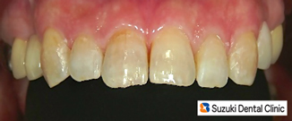
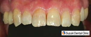
矯正終了 期間:15ヶ月

矯正終了 期間:15ヶ月

矯正終了 期間:15ヶ月
コラム「矯正終了 期間:15ヶ月」の画像
投稿日:2012年6月3日 日曜
記事一覧:Dr.鈴木日記 » このコラムのトップへ