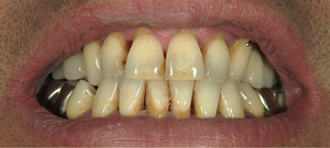
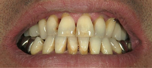
目立たない入れ歯

目立たない入れ歯

目立たない入れ歯
コラム「目立たない入れ歯」の画像
投稿日:2011年9月23日 金曜
記事一覧:Dr.鈴木日記 » このコラムのトップへ