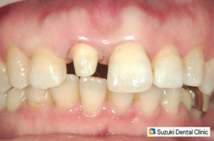
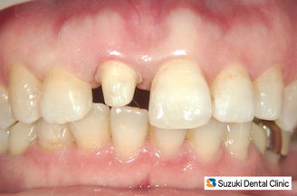
小さくなった歯

小さくなった歯

小さくなった歯
コラム「小さくなった歯」の画像
投稿日:2011年12月29日 木曜
記事一覧:Dr.鈴木日記 » このコラムのトップへ