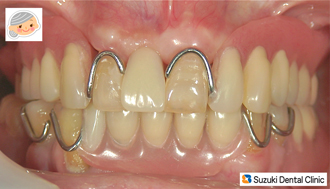
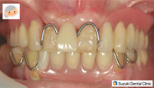
悲しい現実の保険の入れ歯

悲しい現実の保険の入れ歯

悲しい現実の保険の入れ歯
コラム「悲しい現実の保険の入れ歯」の画像
投稿日:2012年11月18日 日曜
記事一覧:Dr.鈴木日記 » このコラムのトップへ