小学生なら矯正は治る

小学生なら矯正は治る

小学生なら矯正は治る
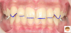
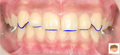
コラム「小学生なら矯正は治る」の画像
投稿日:2012年8月6日 月曜
記事一覧:Dr.鈴木日記 » このコラムのトップへ