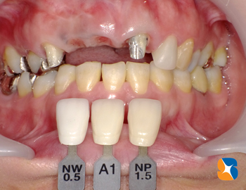
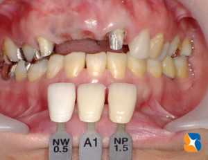
前歯が2本ないので4本連続のブリッジ

前歯が2本ないので4本連続のブリッジ

前歯が2本ないので4本連続のブリッジ
コラム「前歯が2本ないので4本連続のブリッジ」の画像
投稿日:2015年3月21日 土曜
記事一覧:Dr.鈴木日記 » このコラムのトップへ