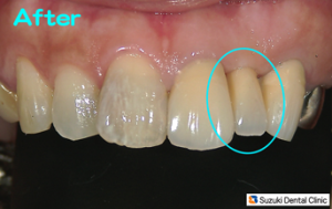
3連結のブリッジで埋める

3連結のブリッジで埋める

3連結のブリッジで埋める
コラム「3連結のブリッジで埋める」の画像
投稿日:2013年1月15日 火曜
記事一覧:Dr.鈴木日記 » このコラムのトップへ