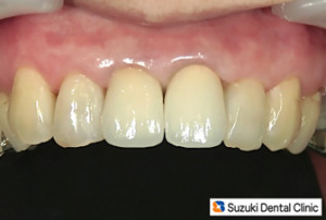
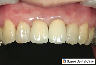
新しくやり直した前歯

新しくやり直した前歯

新しくやり直した前歯
コラム「新しくやり直した前歯」の画像
投稿日:2011年11月18日 金曜
記事一覧:Dr.鈴木日記 » このコラムのトップへ