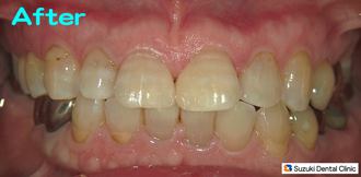
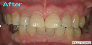
すき間を保険で解決

すき間を保険で解決

すき間を保険で解決
コラム「すき間を保険で解決」の画像
投稿日:2013年1月15日 火曜
記事一覧:Dr.鈴木日記 » このコラムのトップへ