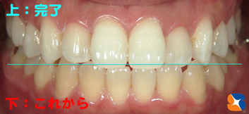
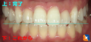
上の歯と下の歯の比較

上の歯と下の歯の比較

上の歯と下の歯の比較
コラム「上の歯と下の歯の比較」の画像
投稿日:2013年1月20日 日曜
記事一覧:Dr.鈴木日記 » このコラムのトップへ