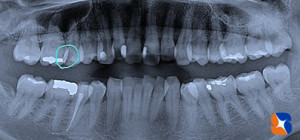
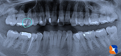
レントゲンで虫歯を説明されてもよく分からない

レントゲンで虫歯を説明されてもよく分からない

レントゲンで虫歯を説明されてもよく分からない
コラム「レントゲンで虫歯を説明されてもよく分からない」の画像
投稿日:2013年10月30日 水曜
記事一覧:Dr.鈴木日記 » このコラムのトップへ