念願の奥歯の保険認可

念願の奥歯の保険認可

念願の奥歯の保険認可
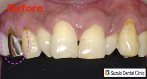
コラム「念願の奥歯の保険認可」の画像
投稿日:2015年1月26日 月曜
記事一覧:Dr.鈴木日記 » このコラムのトップへ