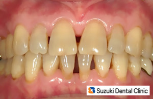
前歯のすき間

前歯のすき間

前歯のすき間
コラム「前歯のすき間」の画像
投稿日:2011年10月29日 土曜
記事一覧:Dr.鈴木日記 » このコラムのトップへ