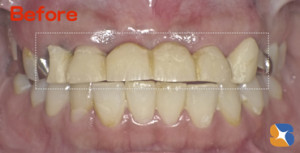
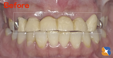
6連結の前歯のブリッジ

6連結の前歯のブリッジ

6連結の前歯のブリッジ
コラム「6連結の前歯のブリッジ」の画像
投稿日:2014年8月3日 日曜
記事一覧:Dr.鈴木日記 » このコラムのトップへ