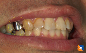
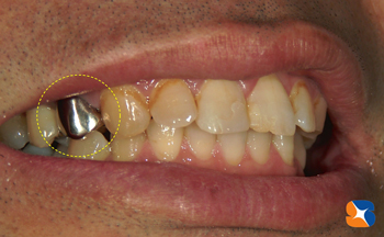
2年前までは保険で銀歯

2年前までは保険で銀歯

2年前までは保険で銀歯
コラム「2年前までは保険で銀歯」の画像
投稿日:2015年10月1日 木曜
記事一覧:Dr.鈴木日記 » このコラムのトップへ