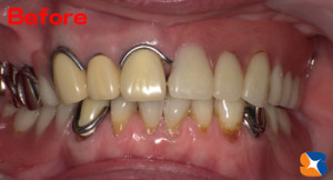
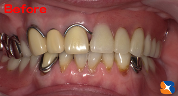
噛めない入れ歯 見た目の悪い入れ歯

噛めない入れ歯 見た目の悪い入れ歯

噛めない入れ歯 見た目の悪い入れ歯
コラム「噛めない入れ歯 見た目の悪い入れ歯」の画像
投稿日:2014年12月11日 木曜
記事一覧:Dr.鈴木日記 » このコラムのトップへ