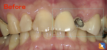
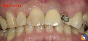
保険の前歯のブリッジ

保険の前歯のブリッジ

保険の前歯のブリッジ
コラム「保険の前歯のブリッジ」の画像
投稿日:2013年6月12日 水曜
記事一覧:Dr.鈴木日記 » このコラムのトップへ