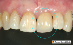
セラミック 調和 バランス

セラミック 調和 バランス

セラミック 調和 バランス
コラム「セラミック 調和 バランス」の画像
投稿日:2011年3月31日 木曜
記事一覧:Dr.鈴木日記 » このコラムのトップへ