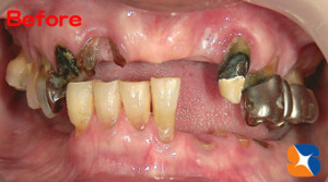
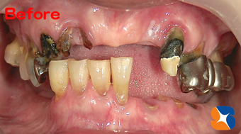
痛くはないが綺麗にしたい

痛くはないが綺麗にしたい

痛くはないが綺麗にしたい
コラム「痛くはないが綺麗にしたい」の画像
投稿日:2013年5月28日 火曜
記事一覧:Dr.鈴木日記 » このコラムのトップへ