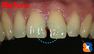
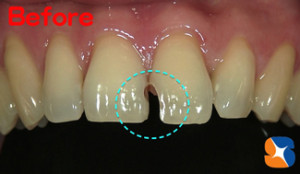
前歯の虫歯

前歯の虫歯

前歯の虫歯
コラム「前歯の虫歯」の画像
投稿日:2013年1月20日 日曜
記事一覧:Dr.鈴木日記 » このコラムのトップへ