ドクターが一から作るオールセラミック

ドクターが一から作るオールセラミック

ドクターが一から作るオールセラミック
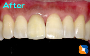
コラム「ドクターが一から作るオールセラミック」の画像
投稿日:2015年6月18日 木曜
記事一覧:Dr.鈴木日記 » このコラムのトップへ