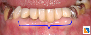
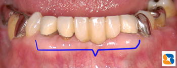
古い前歯 ブリッジ 6連結

古い前歯 ブリッジ 6連結

古い前歯 ブリッジ 6連結
コラム「古い前歯 ブリッジ 6連結」の画像
投稿日:2012年12月13日 木曜
記事一覧:Dr.鈴木日記 » このコラムのトップへ