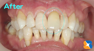
ホワイトニング後にセラミックを換える

ホワイトニング後にセラミックを換える

ホワイトニング後にセラミックを換える
コラム「ホワイトニング後にセラミックを換える」の画像
投稿日:2013年2月10日 日曜
記事一覧:Dr.鈴木日記 » このコラムのトップへ