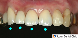
きれいにやりかえた保険のさし歯

きれいにやりかえた保険のさし歯

きれいにやりかえた保険のさし歯
コラム「きれいにやりかえた保険のさし歯」の画像
投稿日:2011年7月25日 月曜
記事一覧:Dr.鈴木日記 » このコラムのトップへ